欢迎光临铝浩铝幕墙建材网

新闻资讯

NEWS

推荐产品

联系我们

铝浩铝幕墙建材网
电话:
联系人:铝浩
邮箱:
地址:广东省佛山市南海区狮山镇广云路辅路
公司新闻
你的当前位置:首页 >> 新闻资讯 >> 公司新闻

西安氟碳铝单板厂家用心只为更好服务(体检里面的肿瘤筛查有意义吗)

2023-03-20    作者:admin  阅读:20次  【打印此页】

广州中医药大学第三附属医院   郭诗琪随着临床医学水平的不断提高,近年来国内对肾上腺嗜铬细胞瘤病例的研究与报道也逐渐增多嗜铬细胞瘤起源于肾上腺髓质并具有激素分泌功能的神经内分泌肿瘤,可合成、分泌和释放大量儿茶酚胺,如去甲肾上腺素、肾上腺素和多巴胺,引起患者血压升高和代谢性改变等一系列临床症候群,并造成心、脑、肾、血管等严重并发症,甚至成为患者死亡的主要原因。

某些患者可因长期高血压致严重的心、脑、肾损害或因突发严重高血压而导致危象,危及生命,但如能及时、早期获得诊断和治疗,是一种可治愈的继发性高血压病病例描述患者邓某,女,31岁  主诉:体检发现右肾上腺肿物、血压升高4年余。

现病史:患者4年余前于当地医院体检时完善腹部彩超提示:右侧肾上腺肿物,直径约3cm,血压偏高,体检中心建议患者前往医院就诊进一步完善检查,患者未予重视,未系统诊治,未规律监测血压1月前患者于我院妇科就诊,测血压波动于145-158/104-113mmHg,查腹部彩超:右肾上腺区稍高回声团(5.0*5.6cm),未排除肾上腺腺瘤,为进一步诊疗,建议转入泌尿外科。

因患者当时新冠核酸检测为阳性,考虑到新冠对心肺功能影响,增加术中麻醉及手术风险,嘱患者服用甲磺酸多沙唑嗪缓释片 4mg QD控制血压,阳康一个月后返院行手术治疗现为进一步手术治疗,门诊拟“右肾上腺肿物性质待查”收入我院。

入院时症见:神清,精神可,无畏寒发热、头晕头痛、胸闷心慌、汗出、腹胀腹痛、恶心呕吐等不适,纳眠可,二便调发现血压升高1月余,最高压为166/113mmHg,平素口服“甲磺酸多沙唑嗪缓释片 4mg QD”控制血压,血压控制在120/80mmHg左右。

既往史:2019年7月孕早期胚胎停育于外院行清宫术,未查流产绒毛染色体2019年底因“子宫平滑肌瘤”于外院行超声聚焦治疗(海扶刀)2020年7月孕早期胚胎停育于外院行药物流产,未查流产绒毛染色体2021年5月于外院行宫腔镜检查术。

2021年7月于外院行子宫内膜活检术否认“冠心病、糖尿病”等慢性病,否认“肝炎、伤寒、结核”等传染病史,否认外伤史,否认输血及使用血制品史,否认药物、食物过敏史,预防接种史不详婚育史:适龄结婚,G2P0A2(孕早期胚胎停育2次),爱人体健。

专科情况:BMI:24.0kg/m2;腹软,无腹壁静脉曲张,未见肠型及胃蠕动波,全腹未及包块,肝脾下缘未触及,无肝区、胆囊区叩击痛,双肾区及输尿管走形区无压痛、叩击痛,移动性浊音(-),肠鸣音正常辅助检查:。

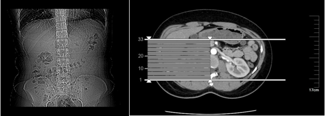
肾上腺CT - 右侧肾上腺肿块(64*49*50mm),考虑嗜铬细胞瘤可能性大初步诊断:1、中医诊断: 瘤——痰凝阻滞2、西医诊断: ①右肾上腺肿物性质待查:嗜铬细胞瘤? ②继发性高血压③继发不孕④子宫内膜异位囊肿

⑤子宫平滑肌瘤⑥复发性流产案例经过患者体检时发现异常但未对其重视,于2023年1月28日入院,入院前于2022年12月已完成相关辅助检查如肾上腺CT提示右侧肾上腺肿块(64*49*50mm),考虑嗜铬细胞瘤可能性大。

实验室检查如17-酮类固醇、尿香草扁桃酸、17-羟皮质类固醇、高血压八项和血浆甲氧基肾上腺素类物质,基本已明确右侧肾上腺嗜铬细胞瘤的诊断且择期手术(一)实验室相关检查:(1)入院前于2022.12.21的检查

17-酮类固醇:<4.6mg/24h ↓尿香草扁桃酸:13.2mg/24h ↑17-羟皮质类固醇、高血压八项未见明显异常血浆甲氧基肾上腺素类物质:3-甲氧基酪胺:0.2nmol/L  ↑,甲氧基肾上腺素:0.23nmol/L,甲氧基去甲肾上腺素:>20.56nmol/L ↑。

见图1、图2、图3、图4和图5

图1  17-酮类固醇检查报告

图2   尿香草扁桃酸检查报告

图3  17-羟皮质类固醇检查报告

图4 高血压八项检查报告

图5  血浆甲氧基肾上腺素类物质检查报告(2)入院后于2023.1.29的检查① 血常规:如图6。

图6 血常规报告② 生化:如图7。

图7  生化报告③ 凝血五项:如图8

图 8  凝血五项报告(3)患者术后于2023.2.3出现了急性心衰proBNP 1201.2 pg/mL↑,如图9。

图 9  心梗心衰两项报告(4)术后于2023.2.6的检查尿香草扁桃酸恢复正常,如图10。

图 10  术后,尿香草扁桃酸报告(二)分析结果:1、嗜铬细胞瘤会分泌大量的儿茶酚胺,而香草扁桃酸是儿茶酚胺的主要代谢产物患者尿香草扁桃酸:13.2mg/24h ↑,怀疑嗜铬细胞瘤的可能性较大,结合影像学和组织学的检查进一步确诊。

2、嗜铬细胞瘤患者的血常规、生化、凝血功能一般无明显异常3、由于激素儿茶酚胺增多所致长期高血压,对心血管功能的损害,患者容量负荷过重,术中刺激到肿瘤,诱发患者血压不稳定,术中出现血压波动、出现了心肺功能衰竭,术后一定要密切监测患者生命体征。

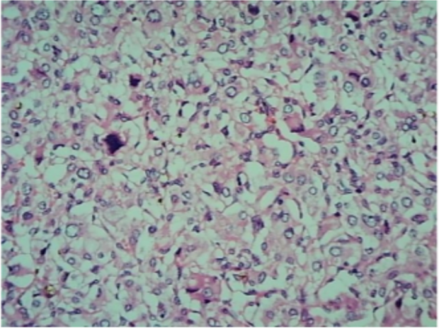
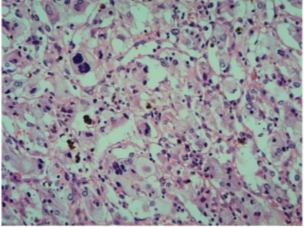
[1]。4、术后要测定尿香草扁桃酸的量以明确肿瘤是否完全切除,恢复到正常水平说明手术成功。(三)相关检查:(1)术后病理诊断检查:提示为嗜铬细胞瘤。见图11-12。

图11  手术切除后病理学检查报告

图12 详细的病理组织图(2)肾上腺CT检查,如图13-14。

图13 肾上腺CT报告

图14 肾上腺CT图案例分析嗜铬细胞瘤是一种少见的内分泌疾病,临床表现多样,且疾病演变较快有些患者可以完全没有症状,有症状的话最典型的是高血压,发作时最常见的三联征头痛、心悸、多汗症状就如这案例中的患者是在日常健康体检中发现的嗜铬细胞瘤,且血压都升高4年多,知道后却不管不问,也很容易出现问题。

在一些常规检查如血常规和生化我们并未看出异常那就要靠一种代谢物去判断了嗜铬细胞瘤会分泌大量的儿茶酚胺,而香草扁桃酸(vanillylmandelic acid,VMA)是儿茶酚胺的主要代谢产物体内儿茶酚胺有包括肾上腺素、去甲肾上腺素、多巴胺。

VMA 占体内肾上腺素和去甲肾上腺素代谢产物的60%测定尿VMA含量能够反映体内肾上腺髓质激素的水平,可用于嗜铬细胞瘤的诊断案例中患者的尿香草扁桃酸是13.2mg/24h,甲氧基去甲肾上腺素是>20.56nmol/L都显示异常升高,结合了CT的检查结果能明确诊断为嗜铬细胞瘤。

患者通过腹腔镜下进行手术切除肿瘤,最终的诊断依靠病理组织学嗜铬细胞瘤得到早期及时的诊断和治疗,是一种可治愈的继发性高血压病肿瘤大量分泌的儿茶酚胺类物质可以导致心肌细胞长期处于高负荷工作状态,从而使细胞内钙超负荷而损伤心肌细胞,嗜铬细胞瘤手术后,患者血容量比原来的低,在失去了大量的这种肾上腺素和去甲肾上腺素的支持,激素水平下降易发生肾上腺危象而诱发心率快、心力衰竭

[2],经配合医生积极抢救及护理,病人预后良好,各检查结果也恢复正常,已康复出院鉴别诊断有些嗜铬细胞瘤的临床表现与腹部、神经系统或代谢紊乱表现相类似,因此极易与这些疾病相混淆:(1)分泌肾素的肿瘤:多见于青年人,高血压、低血钾甚为严重,血浆肾素活性特高。

可分为两类:肾小球旁细胞肿瘤;肾外肿瘤,主要为卵巢肿瘤(2)继发性醛固酮增多:包括以下疾病:1)高血压病的恶性,引起肾素增多,部分患者可出现低血钾2)肾动脉狭窄导致的高血压,进展较快,部分患者在上腹中或肋脊角可闻及血管杂音。

3)一侧肾萎缩、结节性多动脉炎总结嗜铬细胞瘤也可能出现高血压急症、心肌梗死、休克和多系统衰竭等危及生命的心血管系统的表现因此对于不明原因腹痛、出汗、高血糖、白细胞增多、发绀等合并多系统症状的休克患者,排除常见病因后需警惕嗜铬细胞瘤的可能性。

诊断嗜铬细胞瘤主要依靠临床表现以及生化检查结果嗜铬细胞瘤的早期诊断尤为重要,诊断必须建立在24小时尿香草扁桃酸或其代谢产物增加的基础上,增加即可对嗜铬细胞瘤做出定性诊断典型嗜铬细胞瘤症状:血压突然升高伴剧烈头痛,常呈猛烈的敲打性,全身大汗淋漓、心悸等。

对于儿童和青年人,呈阵发性或持续性发作高血压,应考虑本病的可能性因此临床查体的普及每年一次的体检还是很有必要对于尿香草扁桃酸的检测,在临床工作中也遇到了很多护士打电话来咨询留取的方法在采集标本方面也是有很多注意事项的,简单的操作为在开始标本采集当天(如早晨8点),患者开始排尿,从此时间开始计算时间,将24小时的尿液全部收集到一个干净的容器内。

在结束留取尿液标本的次日(如第日早8点),测量总的尿量并记录在申请单上混匀取少量(2~3ml)尿液到普通尿常规的管内送检其中在收集的过程中,为了防止尿中激素被氧化,通常会加入防腐剂浓盐酸

参考文献[1] 方刚,李炜,叶元平.12例肾上腺嗜铬细胞瘤的诊断和治疗[J].安徽医学,2009,30 (1):37-38.[2] 沈美亮.后腹腔镜下肾上腺嗜铬细胞瘤术后并发症的观察与护理[J] .护士进修杂志, 2012 ,27 (13):1199- 1200.

如果您觉得我们发布的信息对您及您的朋友有帮助,请点击右上角···按钮分享到朋友圈获取更多检验资讯请浏览“医学仪器与试剂官方网站”www.mir168.com欢迎向我们投稿或推荐优秀文章,将优秀文章与更多的同行分享、交流。

投稿邮箱:28675637@qq.com